口腔“无土栽培技术”
穿翼种植术
听说过花果蔬菜可以无土栽培,
那你知道牙齿也能“无土栽培”吗?
今天,就给大家科普一下
口腔的“无土培栽”——穿翼种植手术
家住崇阳的胡阿姨,因牙齿缺失多颗,说话漏风,常年只能吃一些软烂食物,去过多家医疗机构治疗修复都没有达到效果,还因骨头条件太差被告知无法种植,于是胡阿姨抱着试一试的心态来到湖科口腔医院寻求解决办法。

“想做种植牙,但是他们说我牙槽骨太薄,已经没办法再种了。”胡阿姨回忆道,此刻,她的口腔内,上颌仅剩4颗牙,下颌磨牙全部缺失,严重影响了进食和社交,生活品质一落千丈。

听朋友说湖科口腔技术不错,胡阿姨来到湖科口腔崇阳门诊部,医生助理的热情接待让她感受到了不一样的氛围,”她们耐心的分析各种牙齿修复方式的优劣势,详细地讲解手术过程的每个细节,有问必答。而且他们医院刘伟院长可以做附近医院做不了的穿翼种植,可以让我当天就能种上牙,当天就有牙可以用,我对这个方案很感兴趣。“

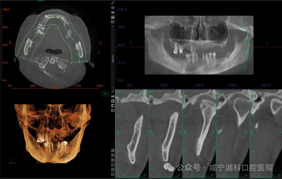
刘伟院长根据胡阿姨的牙齿情况,分析到上颌窦剩余骨量非常少,做种植有两种方式,一种是采用上颌窦外提升,需要大量植骨,要忍受大半年至一年的无牙期,而且要进行两次手术才能完成修复。第二种是穿翼种植,是一种新技术,目前咸宁掌握这项种植技术的医生很少,这项技术是拔完牙后即刻就进行穿翼种植,只用一次手术就能完成种植,当天就能戴牙,大大缩短修复时间,减少无牙痛苦。

院长面诊细节沟通

拍摄口腔CT,进行专业分析
经过多方比较,1月25日,胡阿姨最终选择了刘伟院长为她进行穿翼种植,最终当天拔掉上颌两颗松动牙,保留了2颗大磨牙,植入5颗种植体,当天拔牙当天种当天戴固定牙。她说:“毕竟湖科口腔口碑很好,种植牙是很考验医生技术的手术,既然要做,就要找靠谱的、术后维护有保障的医院,技术过硬的医生。”




更让胡阿姨感到暖心的是,术后护理团队持续跟进,多次电话回访并耐心叮嘱注意事项,全面保障康复进程顺畅。过几天胡阿姨下颌的四颗种植牙也将在湖科口腔完成。

刘院长表示:“随着现在人口老龄化,像胡阿姨这样面临缺牙问题的人会越来越多,牙齿缺失一定要重视,及早修复,才可以尽最大可能的减少牙槽骨的流失,降低牙齿修复难度。现代种植牙技术不断进步,像穿翼种植,目前掌握这项技术的医生不多,该技术对医院的软硬件和医生要求极为严苛,患者应选择正规的口腔医院和有丰富经验的口腔种植医师进行手术。“


穿翼种植是一种特殊的口腔种植技术,被誉为种植牙界的“无土栽培术”,手术难度非同一般,临床中适用于上颌牙槽骨极度萎缩、骨量流失严重、重度缺骨等情况,无法进行常规种植牙的患者。
在这种手术中,种植体不是常规地植入牙槽骨,而是穿过上颌窦,把种植体植入到鼻部两侧的翼骨。翼状板位于上颌骨后部,较为坚固,能够提供良好的支撑。这就像是为牙齿的修复搭建了一个超级稳固的 “桥墩”,为牙列缺失或严重损坏的患者提供了一种有效的解决方案。
解决重度骨量缺失问题
穿翼种植术为上颌骨重度萎缩、骨量严重流失的患者提供了种植牙齿的新选择。
即刻种植即刻修复
穿翼种植术可以实现当天种牙、当天修复,缩短治疗周期。
稳固性强
由于种植体植入在坚硬的颧骨和翼板骨上,因此人工牙根更加牢固地固定在颌骨中。
湖科口腔已开展穿翼种植术,穿翼种植术是现如今难度较大的种植技术之一,俗称“无土栽培术”。它是上颌骨严重吸收的情况下的一种有效替代治疗方法。然而,由于手术风险较高,患者应谨慎选择医院和医生,并严格遵守医嘱进行术前准备和术后护理。
牙齿健康关系我们全身健康
如果有其他问题
添加客服微信可及时咨询哦
~客服在线时间~
8:15-12:00 14:00-18:00



















